Dokter dan Klinik
Restorasi Gigi PIK
Klinik kami memiliki dokter spesialis memperbaiki gigi rusak dengan teknologi canggih untuk hasil yang natural, rapi, dan tahan lama tanpa rasa sakit.
Apa Anda Punya Masalah Gigi Seperti Berikut?
- SAKIT GIGI
- GIGI BERLUBANG
- GIGI HITAM
- GIGI KUNING
- GIGI PATAH
- GIGI KURANG RAPI
- TAMBALAN SERING LEPAS
- SAKIT GIGI
- GIGI BERLUBANG
- TAMBALAN SERING LEPAS
- GIGI HITAM
- GIGI KUNING
- GIGI KURANG RAPI
- GIGI PATAH
- GIGI AUS
- SAKIT GIGI
- GIGI BERLUBANG
- TAMBALAN SERING LEPAS
- GIGI HITAM
- GIGI KUNING
- GIGI KURANG RAPI
- GIGI PATAH
Tidak Perlu Khawatir
Semua Masalah Gigi Anda Ada Solusinya
Di Dental 21 PIK, kami bantu temukan solusi yang tepat—mulai dari scaling gigi hingga tambal gigi sesuai kebutuhan medis dan estetik Anda.
Veneer Gigi
Veneer gigi adalah lapisan tipis yang ditempelkan pada permukaan depan gigi untuk memperbaiki penampilan gigi. Harga mulai dari Rp 7.500.000 /Gigi.
Tambal Gigi
Tambal gigi adalah prosedur yang dilakukan untuk memperbaiki gigi berlubang atau gigi rusak. Harga mulai dari Rp 1.500.000 /Gigi.
Scaling Gigi
Scaling gigi adalah prosedur pembersihan gigi yang dilakukan untuk menghilangkan plak dan noda dari permukaan gigi. Harga mulai dari Rp 1.500.000.
PSA Gigi
Prosedur untuk merawat gigi yang mengalami kerusakan atau infeksi pada bagian pulpa gigi (jaringan lunak yang berisi saraf dan pembuluh darah). Harga mulai dari Rp 8.000.000 /Gigi.
Dental Bridge
Menggantikan satu atau lebih gigi yang hilang dengan cara menjembatani ruang gigi yang ditinggalkan. Harga mulai dari Rp 7.500.000 /Gigi.
Lainnya
Kami menyediakan perawatan lengkap: pemeriksaan rutin dengan dokter gigi, perawatan preventif seperti scaling, hingga tambal gigi dan restorasi gigi sesuai kebutuhan.
Kenapa Harus Perawatan di Dental 21?




Dokter Yang Care & Terus Belajar
Kami memiliki tim dokter yang selalu update ilmu, pintar, baik hat dan care sepenuh hati ke Anda.





Perawatan Yang Berkualitas & Jangka Panjang
Kami tidak hanya menyelesaikan masalah gigi rusak Anda sekarang, tetapi juga memberikan solusi yang bertahan untuk bertahun-tahun kedepan.






Teknologi Canggih & Terkini
Klinik Kami menggunakan teknologi yang paling update dan canggih berstandar klinik top international.
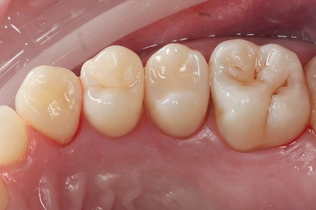
Result
Before & After Treatment
Kami berkomitmen untuk selalu memberikan hasil yang terbaik. Ribuan pasien puas dengan layanan mulai dari scaling gigi, tambal gigi, hingga restorasi gigi yang dikerjakan oleh dokter gigi berpengalaman.




5 Langkah Sukses Perawatan di Dental 21
Berikut 5 resep spesial Kami untuk menyelesaikan masalah Anda:
- Identifikasi Masalah Teliti Menggunakan Teknologi
- Konsultasi Rencana Perawatan yang Disesuaikan dengan Kebutuhan Masing-Masing Pasien
- Perawatan dengan Teknologi Canggih
- Pemasangan Gigi dengan Ilmu Terkini
- Layanan Kontrol Berkala
Isi Data di Bawah Ini
Jika Anda Memiliki Masalah Gigi Rusak dan Butuh Bantuan Kami​
Spesialis Memperbaiki Gigi Rusak
Klinik Gigi yang terletak di Pantai Indah Kapuk, Jakarta Utara dengan spesialisasi memberikan perawatan terbaik pada masalah gigi rusak dan sakit gigi.
Contact Us
📍Town House Cordoba No. 21 Bukit Golf Mediterania, Pantai Indah Kapuk, Daerah Khusus Ibukota Jakarta 14470
Quick Link
Masukan nama dan kontak Anda di bawah ini jika Anda ingin Kami hubungi
Spesialis Memperbaiki Gigi Rusak
Klinik Gigi yang terletak di Pantai Indah Kapuk, Jakarta Utara dengan spesialisasi memberikan perawatan terbaik pada masalah gigi rusak dan sakit gigi.
Contact Us
📍Town House Cordoba No. 21 Bukit Golf Mediterania, Pantai Indah Kapuk, Daerah Khusus Ibukota Jakarta 14470
