Solusi Jangka Panjang
Perbaikan Gigi Rusak Anda
Klinik premium spesialis memperbaiki gigi rusak yang dilengkapi teknologi canggih dengan dokter gigi yang ahli dan terpercaya.
Klinik dengan Rating Terbaik di Pantai Indah Kapuk, Jakarta
Apa Anda Punya Masalah Gigi Seperti Berikut?
- SAKIT GIGI
- GIGI BERLUBANG
- GIGI HITAM
- GIGI KUNING
- GIGI PATAH
- GIGI KURANG RAPI
- TAMBALAN SERING LEPAS
- SAKIT GIGI
- GIGI BERLUBANG
- TAMBALAN SERING LEPAS
- GIGI HITAM
- GIGI KUNING
- GIGI KURANG RAPI
- GIGI PATAH
- GIGI AUS
- NYELIP MAKANAN
- SAKIT GIGI
- GIGI BERLUBANG
- TAMBALAN SERING LEPAS
- GIGI HITAM
- GIGI KUNING
- GIGI KURANG RAPI
- GIGI PATAH
Tidak Perlu Khawatir
Semua Masalah Gigi Anda Ada Solusinya
Mulai dari tambal gigi berlubang dan tambal gigi permanen, hingga pasang crown gigi—kami susun perawatan sesuai kebutuhan medis dan hasil estetik yang Anda inginkan.
Veneer Gigi
Veneer gigi adalah lapisan tipis yang ditempelkan pada permukaan depan gigi untuk memperbaiki penampilan gigi yang rusak. Harga mulai dari Rp 7.500.000 /Gigi.
Dental Crown (Crown Gigi)
Crown gigi adalah penutup yang dipasang di atas gigi yang rusak parah untuk memperbaiki bentuk dan fungsinya. Harga mulai dari Rp 7.500.000 /Gigi.
Inlay Gigi
Tambalan gigi dari ceramic untuk gigi berlubang & gigi rusak yang lebih kuat dan tahan lama. Harga mulai dari Rp 7.500.000 /Gigi.
Onlay Gigi
Topi ceramic yang dipasangkan di atas gigi untuk melindungi gigi yang sudah rusak parah. Harga mulai dari Rp 7.500.000 /Gigi.
Composite Filling
Tambalan komposit adalah tambalan sewarna gigi yang dipakai untuk menambal gigi dengan kerusakan kecil hingga sedang. Harga mulai dari Rp 1.500.000 /Gigi.
Kenapa Harus Perawatan di Dental 21?




Dokter Yang Care & Terus Belajar
Kami memiliki tim dokter yang selalu update ilmu, pintar, baik hati dan care sepenuh hati ke Anda.





Perawatan Yang Berkualitas & Jangka Panjang
Kami tidak hanya menyelesaikan masalah gigi rusak Anda sekarang, tetapi juga memberikan solusi yang bertahan untuk bertahun-tahun kedepan.






Teknologi Canggih & Terkini
Klinik Kami menggunakan teknologi yang paling update dan canggih berstandar klinik top international.
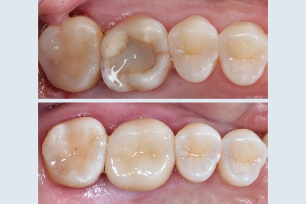
Result
Before & After Treatment
Sebagai klinik restorasi gigi, kami berkomitmen memberi hasil rapi dan tahan lama—mulai dari sakit gigi berlubang dan gigi berlubang parah, hingga tambal gigi berlubang dan tambal gigi depan.










Ribuan Pasien Puas dengan Pelayanan Kami
5 Langkah Sukses Perawatan di Dental 21
Berikut 5 resep spesial Kami untuk menyelesaikan masalah gigi Anda:
- Identifikasi Masalah Teliti Menggunakan Teknologi
- Konsultasi Rencana Perawatan yang Disesuaikan dengan Kebutuhan Masing-Masing Pasien
- Perawatan dengan Teknologi Canggih
- Pemasangan Gigi dengan Ilmu Terkini
- Layanan Kontrol Berkala
Isi Data di Bawah Ini
Jika Anda Memiliki Masalah Gigi Rusak dan Butuh Bantuan Kami​
Spesialis Memperbaiki Gigi Rusak
Klinik Gigi yang terletak di Pantai Indah Kapuk, Jakarta Utara dengan spesialisasi memberikan perawatan terbaik pada masalah gigi rusak dan sakit gigi.
Contact Us
📍Town House Cordoba No. 21 Bukit Golf Mediterania, Pantai Indah Kapuk, Daerah Khusus Ibukota Jakarta 14470
Quick Link
Masukan nama dan kontak Anda di bawah ini jika Anda ingin Kami hubungi
Spesialis Memperbaiki Gigi Rusak
Klinik Gigi yang terletak di Pantai Indah Kapuk, Jakarta Utara dengan spesialisasi memberikan perawatan terbaik pada masalah gigi rusak dan sakit gigi.
Contact Us
📍Town House Cordoba No. 21 Bukit Golf Mediterania, Pantai Indah Kapuk, Daerah Khusus Ibukota Jakarta 14470






