Dentist PIK untuk Gigi Rusak Parah: Tambal, PSA, atau Crown? Ini Cara Menentukannya

Saat Anda mencari dentist PIK untuk menangani gigi rusak parah, sering kali muncul pertanyaan: apakah kondisi ini cukup ditambal, perlu PSA (perawatan saluran akar), atau bahkan memerlukan crown (mahkota gigi)?
Keputusan tersebut tidak bisa ditentukan hanya dari ukuran lubang. Penentuan tindakan bergantung pada kedalaman kerusakan, kondisi saraf gigi, dan kekuatan sisa struktur gigi. Artikel ini akan membantu Anda memahami perbedaannya secara sistematis agar lebih siap saat berkonsultasi.
Baca juga: Sariawan di Lidah: Penyebab Paling Sering & Cara Mengatasinya
Identifikasi Awal Berdasarkan Gejala Klinis
Gejala yang Anda rasakan sering menjadi indikator pertama dalam menentukan jenis perawatan untuk gigi rusak parah.
1) Kondisi yang Umumnya Masih Dapat Ditangani dengan Tambal
- Nyeri tidak berdenyut dan tidak berlangsung lama
- Sensitif terhadap dingin/manis, tetapi cepat hilang
- Tidak ada bengkak atau benjolan pada gusi
Pada kondisi ini, kerusakan biasanya belum mencapai saraf gigi secara signifikan.
2) Kondisi yang Biasanya Memerlukan PSA (Perawatan Saluran Akar)
- Nyeri berdenyut, terutama pada malam hari
- Nyeri saat menggigit atau terasa seperti gigi “terangkat”
- Pernah muncul bengkak atau benjolan pada gusi
- Sensitif panas/dingin yang bertahan lama
Gejala tersebut menunjukkan kemungkinan adanya peradangan atau infeksi pada saraf gigi.
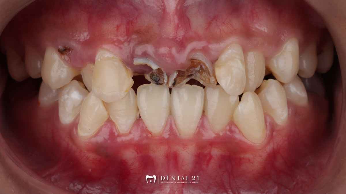
3) Kondisi yang Membutuhkan Crown (Mahkota Gigi)
- Lubang sudah sangat besar
- Gigi terlihat rapuh, retak, atau pernah patah
- Tambalan sebelumnya sering lepas
- Gigi telah menjalani PSA dan struktur tersisa tipis
Dokter memasang crown untuk melindungi gigi sehingga tetap kuat dan berfungsi normal saat mengunyah.
Perbedaan Tambal, PSA, dan Crown
Agar tidak terjadi kesalahpahaman, berikut penjelasan ringkas mengenai masing-masing tindakan:
Tambal Gigi
Tindakan untuk menutup lubang dan mengembalikan bentuk gigi. Cocok untuk kerusakan yang belum melibatkan saraf secara signifikan.

PSA (Perawatan Saluran Akar)
Tindakan untuk membersihkan jaringan saraf yang meradang atau terinfeksi. PSA bertujuan menghilangkan sumber nyeri dan mempertahankan gigi.

Crown (Mahkota Gigi)
Restorasi pelindung yang menutupi seluruh permukaan gigi yang telah melemah. Crown berfungsi memperkuat gigi agar tahan terhadap tekanan kunyah jangka panjang.

Kriteria Klinis yang Dokter Gunakan untuk Menentukan Perawatan
Saat Anda berkonsultasi dengan dentist PIK untuk kasus gigi rusak parah, dokter biasanya akan menilai:
- Kedalaman dan luas kerusakan gigi
- Kondisi saraf berdasarkan gejala dan pemeriksaan klinis
- Sisa struktur gigi yang tersedia
- Adanya tanda infeksi pada jaringan sekitar
- Hasil pemeriksaan radiografi (rontgen), bila diperlukan
Dengan penilaian menyeluruh, dokter dapat memastikan kondisi gigi dan memilih jenis perawatan yang paling sesuai.
Ringkasan Panduan Penentuan Perawatan
Sebagai gambaran umum:
- Kerusakan ringan–sedang tanpa nyeri berat → Tambal
- Nyeri berdenyut atau infeksi saraf → PSA
- Struktur gigi lemah atau pasca-PSA → Crown
Pada banyak kasus gigi rusak parah, kombinasi PSA dan crown menjadi pilihan yang lebih aman untuk mempertahankan fungsi dan ketahanan gigi.
Pendekatan Perawatan di Dental 21 PIK
Sebagai klinik yang berfokus pada perbaikan gigi rusak parah dan sakit gigi, Dental 21 PIK menerapkan pendekatan yang sistematis:
- Pemeriksaan menyeluruh untuk menentukan sumber keluhan
- Penjelasan rencana perawatan secara transparan
- Pemilihan tindakan berdasarkan ketahanan jangka panjang, bukan hanya solusi sementara
Tujuannya adalah memastikan gigi kembali nyaman digunakan dan risiko kerusakan berulang dapat diminimalkan.
Baca juga: Gigi Berlubang Parah: Masih Bisa Diselamatkan atau Harus Dicabut?
Jika Anda mengalami gigi rusak parah atau nyeri saat mengunyah, sebaiknya lakukan pemeriksaan untuk memastikan pilihan perawatan yang paling sesuai.
Dental 21 berlokasi di:
Town House Cordoba No. 21, Bukit Golf Mediterania, Daerah Khusus Ibukota Jakarta 14470
Jam operasional: Senin–Sabtu, 11.00–20.00
Silakan hubungi tim Dental 21 untuk membuat janji konsultasi. Pemeriksaan yang cepat membantu dokter mempertahankan gigi secara optimal.
