7 Cara Menghilangkan Sakit Gigi Berlubang Agar Tidak Kambuh Lagi

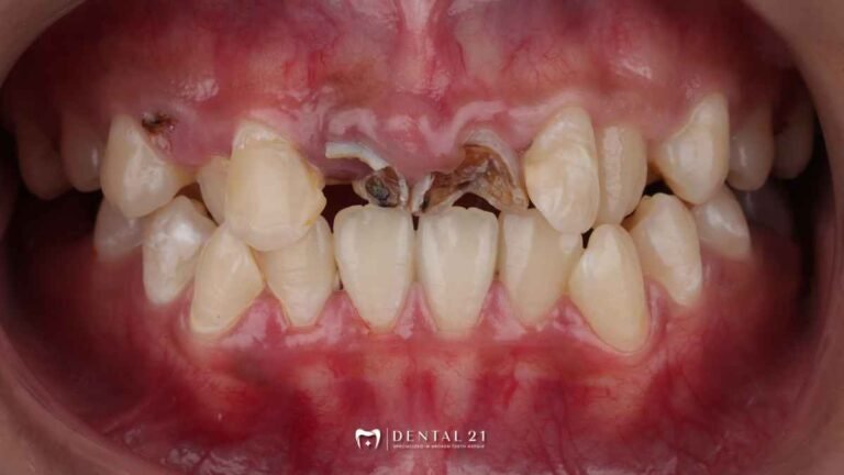
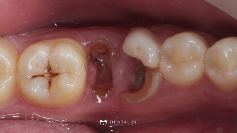
7 Cara Menghilangkan Sakit Gigi Berlubang Agar Tidak Kambuh Lagi Rasa nyeri berdenyut akibat gigi berlubang adalah salah satu pengalaman paling menyiksa. Sering kali, rasa sakit ini datang tak terduga, merusak konsentrasi kerja, hingga membuat Anda tidak bisa tidur nyenyak.…


















