Karang Gigi Hitam: Penyebab, Bahaya, dan Cara Menghilangkannya

Melihat karang gigi hitam di sela atau tepi gusi sering membuat panik. Banyak orang mencoba membersihkannya sendiri, tetapi hasilnya tidak maksimal—bahkan bisa membuat gusi berdarah.
Artikel ini membahas secara lengkap penyebab karang gigi hitam, dampaknya bagi kesehatan gusi, serta cara menghilangkan dengan aman dan efektif.
Baca juga: Dentist PIK untuk Gigi Rusak Parah: Tambal, PSA, atau Crown? Ini Cara Menentukannya
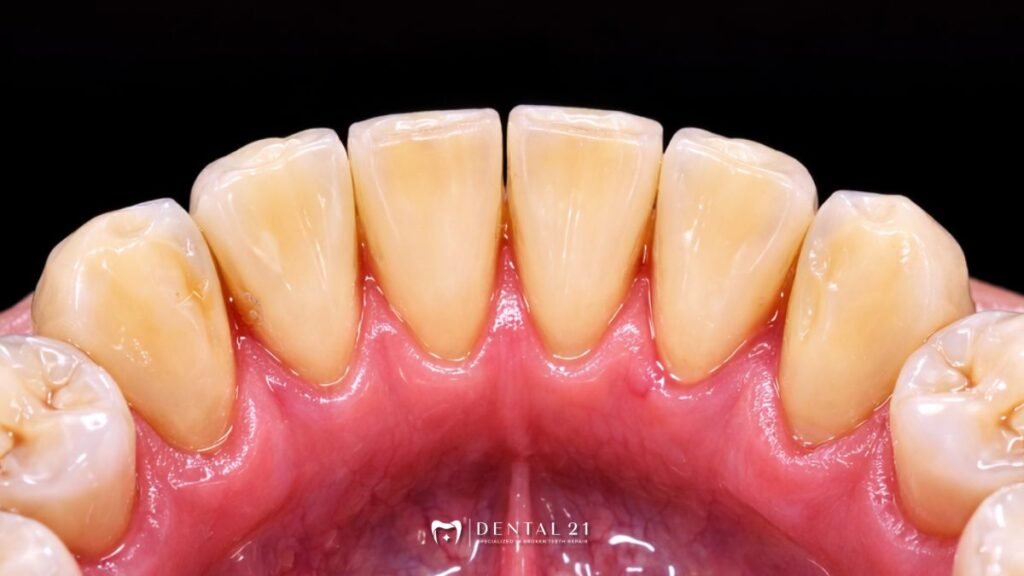
Apa Itu Karang Gigi Hitam?
Karang gigi terbentuk ketika plak mengeras karena bercampur dengan mineral dari air liur. Jika Anda tidak segera membersihkannya, plak akan berubah menjadi karang gigi dalam beberapa hari.
Karang gigi hitam biasanya muncul di dekat garis gusi, di sela-sela gigi, atau di bagian dalam gigi depan bawah. Warna gelap tersebut terjadi akibat penumpukan yang sudah lama, noda dari kopi, teh, atau rokok, serta endapan yang terbentuk di bawah gusi (subgingival).
Semakin lama dibiarkan, karang gigi biasanya makin keras dan sulit dibersihkan.
Penyebab Karang Gigi Hitam yang Paling Sering
Berikut beberapa faktor yang paling sering menyebabkan karang gigi hitam:
1) Jarang scaling atau tidak pernah scaling
Scaling rutin membantu mencegah penumpukan karang. Tanpa scaling, plak akan terus mengeras dan berubah warna menjadi gelap.
2) Kebiasaan merokok
Nikotin dan tar pada rokok mudah menempel pada plak dan membuat karang gigi tampak hitam.
3) Konsumsi kopi, teh, atau minuman berwarna gelap
Minuman ini bisa memberi noda pada plak dan karang gigi.
4) Kebersihan mulut kurang optimal
Teknik menyikat yang kurang tepat atau jarang membersihkan sela gigi membuat plak mudah menumpuk.

Apakah Karang Gigi Hitam Berbahaya?
Karang gigi hitam bukan hanya masalah estetika. Jika dibiarkan, karang gigi dapat menyebabkan:
- Gusi merah dan mudah berdarah
- Bau mulut yang menetap
- Radang gusi (gingivitis)
- Penyakit gusi yang lebih lanjut (periodontitis)
- Gigi terasa goyang pada kasus berat
Karang gigi menjadi tempat bakteri berkembang. Itulah sebabnya Anda perlu segera menanganinya sebelum kondisinya semakin parah.
Cara Menghilangkan Karang Gigi Hitam
1) Apakah bisa hilang dengan sikat gigi biasa?
Tidak. Menyikat gigi atau menggunakan obat kumur tidak bisa menghilangkan karang gigi yang sudah mengeras. Sikat gigi hanya membersihkan plak lunak, bukan karang yang sudah keras.
2) Apakah boleh dikikis sendiri?
Tidak disarankan. Mengikis karang gigi sendiri berisiko:
- melukai gusi,
- merusak email gigi,
- menyebabkan infeksi.
3) Apakah harus scaling?
Dalam kebanyakan kasus, dokter gigi harus melakukan scaling untuk menghilangkan karang gigi hitam. Scaling adalah prosedur pembersihan profesional menggunakan alat khusus untuk:
- mengangkat karang di atas dan di bawah gusi,
- membersihkan bakteri,
- membantu gusi kembali sehat.
Dokter biasanya melakukan scaling tanpa menimbulkan rasa sakit berlebihan. Jika karang cukup banyak atau gusi sensitif, dokter akan menyesuaikan tindakan agar pasien tetap merasa nyaman.
Berapa Kali Harus Scaling?

Umumnya disarankan melakukan scaling setiap 6 bulan sekali. Namun pada pasien dengan karang cepat menumpuk atau masalah gusi, dokter bisa menyarankan kontrol lebih rutin.
Scaling rutin membantu mencegah karang gigi muncul kembali dan menjaga kesehatan gusi dalam jangka panjang.
Kapan Harus Periksa ke Dokter Gigi?
Segera lakukan pemeriksaan jika Anda mengalami:
- Karang gigi hitam terlihat jelas
- Gusi sering berdarah saat sikat gigi
- Bau mulut yang tidak hilang
- Gusi terasa bengkak atau nyeri
- Gigi terasa tidak nyaman saat makan
Baca juga: Sariawan di Lidah: Penyebab Paling Sering & Cara Mengatasinya
Konsultasi & Scaling di Dental 21
Jika Anda melihat karang gigi atau mulai mengalami gusi berdarah dan bau mulut, Anda bisa menjadwalkan pemeriksaan di Dental 21 PIK.
Dental 21 berlokasi di:
Town House Cordoba No. 21, Bukit Golf Mediterania, Daerah Khusus Ibukota Jakarta 14470
Jam operasional: Senin–Sabtu, 11.00–20.00
Silakan hubungi tim Dental 21 untuk membuat janji konsultasi. Pemeriksaan yang cepat membantu dokter mempertahankan gigi secara optimal.
